
serviços HVSB

Ecocardiografia
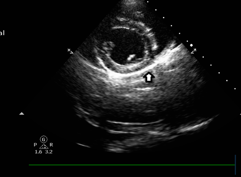
A ecocardiografia veterinária é um exame de imagem que avalia em tempo real a anatomia e o funcionamento do coração. Utilizada principalmente em cães e gatos com suspeita de doenças cardíacas, ela permite observar o fluxo sanguíneo e a força das contrações cardíacas. Trata-se de uma ferramenta essencial para o diagnóstico precoce e o acompanhamento de tratamentos na área da cardiologia veterinária.
A ecocardiografia é indicada quando há suspeita de doença cardíaca, presença de sopros, tosse crônica, fraqueza ou dificuldade respiratória. O exame é fundamental para monitorar o funcionamento do coração, identificar alterações estruturais e acompanhar a eficácia dos tratamentos. É uma ferramenta segura e precisa, recomendada especialmente para cães e gatos com cardiopatias.

A ecocardiografia é realizada com o animal em posição lateral, utilizando um equipamento de ultrassom especializado que avalia as câmaras cardíacas, válvulas e fluxo sanguíneo. O exame é indolor, não invasivo e fornece informações essenciais sobre a função cardíaca. Ele é indicado tanto para diagnóstico inicial quanto para acompanhamento de tratamentos em andamento.
Agende uma consulta conosco através do WhatsApp: (41) 3352-2662
Hospital Veterinário São Bernardo – Av. Munhoz da Rocha, 624 – Cabral, Curitiba (PR)
Desde 1968, cuidando da saúde do seu melhor amigo.